Nachádzate sa tu: Home l Archív noviniek l Chov RR l Rady chovateľom l Ako sa narodí Ridgeback... 1. časť - Gravidita
Príprava na krytie a na pôrod
Príprava na narodenie šteniatok sa nezačína v chovateľskej stanici zmontovaním pôrodnej debničky, ale už dávno predtým výberom vhodného krycieho psa a plánovaním správneho termínu odchovu šteniatok. Ak je naša suka prvorodička, vrhu predchádzajú jej povinné aj nepovinné vyšetrenia a bonitácia (uchovnenie).
Pri výbere psa by malo rozhodovať viac faktorov. Mňa zvyčajne zaujme pes na výstave alebo na fotografii, a potom si o ňom začnem zisťovať viac – odkiaľ pochádza, akých má predkov, ak už mal nejaké vrhy, aké šteniatka sa narodili, a ak už má väčších potomkov, ako vyzerajú, aké majú povahy a či sú zdraví. Výberom psa sa snažím o potlačenie chýb a zvýraznenie predností, ktorých som si u našej sučky vedomá. Potom už len zostáva dúfať, že „pani genetika“ namieša šteniatkam po obidvoch rodičoch len to najlepšie. Zatiaľ som vždy kryla len so psom, ktorého som videla aj naživo aspoň na výstave. Lepšie je, ak sa so psom môžete vopred stretnúť aj inde a lepšie sa zoznámiť aj s majiteľom a opýtať sa na jeho podmienky v prípade krytia.
Ak nemáte s výberom psa skúsenosti, odporúčam vám obrátiť sa na hlavného poradcu chovu alebo skúseného chovateľa, ku ktorému máte dôveru. Určite vám poradí, aj keď konečný výber bude na vás...Ak ste si už nádejného otecka pre váš vrh vybrali, treba požiadať hlavného poradcu chovu o tzv. odporúčanie na párenie. Na tlačive môžete uviesť aj dva alternatívne psy pre prípad, že by ste vybratého psa nemohli pre nejakú príčinu použiť (môže sa stať, že pes odcestuje s majiteľom na výstavu, na dovolenku alebo ochorie). Žiadosť o odporúčanie si nenechávajte na poslednú chvíľu, zažiadajte si oň aspoň 30 dní pred plánovaným krytím.
Sučka by mala byť pred krytím v dobrej kondícii, nemá mať nadváhu, v takom prípade môže mať problém zabreznúť. Má byť riadne zaočkovaná aspoň mesiac pred krytím aj odčervená. Aspoň dva týždne pred predpokladaným začiatkom hárania začínam podávať kyselinu listovú - (acidum folicum), keďže jej podávanie preukázateľne redukuje vznik dermoidných sinusov. Ja podávam každé ráno pri jedle dávku 10 mg.
Zodpovedný majiteľ krycieho psa
S majiteľom krycieho psa treba dohodnúť predbežný termín krytia a spísať zmluvu s podmienkami, na ktorých sa majitelia dohodli ešte pred krytím. Podmienky majiteľov krycích psov sa líšia, niektorý majiteľ vyžaduje plnú sumu za krytie ihneď po nakrytí, niektorý si vyžiada zálohu a zvyšok po potvrdení gravidity alebo po narodení šteniatok, niektorý majiteľ požaduje úhradu až po predaji šteniatok. Zvyčajne je v zmluve možnosť náhradného krytia, ak suka nezostane gravidná.
Pomôcka pre vyhotovenie zmluvy
Sučka zvyčajne cestuje za krycím psom, takže treba naplánovať aj prepravu na miesto a ubytovanie.
Potom už len zostáva čakať, keď sa sučka začne hárať. O tom, ako sa pripraviť na krytie a ako spoznať ten správny deň, si môžete prečítať v článku: Príprava suky na krytie, Určenie optimálneho dňa na krytie, Krytie
Po krytí
Tesne po krytí necháme sučku nejaký čas v pokoji, v ideálnom prípade by sa nemala minimálne hodinu ani vyprázdňovať. Niekoľko dní po krytí nechávame sučke väčší oddych, potom sa opäť môžeme vrátiť k jej zvyčajnej aktivite a prechádzkam.
Ako zistíme, či je naša sučka gravidná
Graviditu môže potvrdiť:
|
Metóda |
Od |
||
|
1. |
Abdominálna palpácia |
25. dňa |
skúsený veterinár alebo chovateľ môže prítomnosť šteniatok potvrdiť hmatom – maternica gravidnej suky sa nám javí najskôr ako guľôčky (plody), ktoré sa zväčšujú na veľkosť pingpongovej loptičky, potom sa celý roh maternice zväčšuje a je tak zle prehmatateľný. |
|
2. |
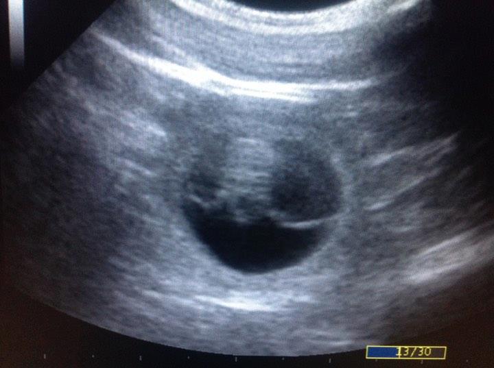
USG (sono) |
25. dňa |
sono prístrojom – vidno: plodový vačok, srdce, embryo, stena maternice. |
|
3. |
RTG |
45. dňa |
Kostry plodov už sú čiastočne osifikované. |
|
4. |
Pomocné metódy z krvi: |
a) proteíny akútnej fázy (fibrinogén, haptoglobín, C-reaktívny proteín/CRP) v porovnaní s hladinou progesterónu 20. deň po ovulácii, |
|
|
b) relaxín – 24. deň po ovulácii – stanovenie koncentrácie sérového relaxínu (relaxín je hormón produkovaný primárne placentou matky (suky) a možno ho označiť tiež za hormón špecificky spojený s graviditou). Koncentrácie sérového relaxínu sa u gravidných súk zvyšujú v porovnaní s negravidnými od 20. – 30. dňa gravidity a vrchol dosahujú v strede gravidity. |
|||
|
5. |
Adspekcia – pozorovanie zrakom |
pokles brušnej dutiny a lišty, zväčšenie mliečnej žľazy, správanie. |
Starostlivosť o gravidnú sučku
V prvej polovici tehotenstva sa sučka veľmi nemení, môžu sa jej mierne zväčšiť bradavky, býva maznavejšia, viac oddychuje. Do 35. dňa zásadne nemením žiadne zvyky ani prostredie sučky, pri výraznejších zásahoch, ako je napríklad odčervenie, očkovanie, odblšenie je aj možnosť, že organizmus sučky šteniatka vstrebe. Po 35. dni už toto nebezpečenstvo klesá.
V strave naďalej pokračujem v podávaní doplnku výživy – kyseliny listovej. Naše sučky kŕmim prirodzenou stravou, v prvom mesiaci gravidity zväčšujem rastlinný podiel v dávkach, ale hmotnosť dávok sa nemení.
V druhej polovici gravidity sa sučka začína výraznejšie meniť: začína sa jej zväčšovať bruško, chlpy na bruchu jej rednú, jemnejú a vypadávajú.Niektoré sučky v polovici gravidity strácajú chuť do jedla alebo sa im menia chute, dávky treba rozdeliť na menšie a dávať ich častejšie, niektorým sučkám pomáha „naštartovať“ chuť do jedla trochou kyslého mlieka chvíľu pred jedlom. Niektoré sučky, ktoré sú zvyknuté na granuly, ich odmietajú, a naopak, sučke zvyknutej na prirodzenú stravu sa zavďačíte granulami. V druhej polovici gravidity zmenšujem dávku určenú na raňajky a pridávam menší obed, postupne každý týždeň zvyšujem dávku jedla o 10 %. V 5. – 7. týždni podávam sučke väčší podiel kostí, keďže plodom sa začínajú osifikovať kostičky. Do stravy pridávam vajíčka, hovädzie srdce, pečeň. 
Ak kŕmite granulami, začnite s podávaním koncentrovanejších krmív, ktorými sú krmiva pre psy v záťaži alebo krmivá určené priamo pre gravidné a laktujúce suky. Tieto receptúry obsahujú okolo 28 – 30 % bielkovín. Koncom druhého mesiaca gravidity, naopak, podávam menej kostí, aby sučka nemala problém s vyprázdňovaním, kŕmim 3 – 5 x denne v menších dávkach.
Nikdy nepridávam sučke umelo vápnik, pretože tým sa zvýši hladina vápnika v tele sučky a tá po pôrode prudko klesne a dochádza k odvápneniu. Preto sa odporúča pridávať vápnik až po pôrode.
Sučke nedovoľujem prudké pohyby, ale nemala by zlenivieť, mala by sa po celý čas gravidity udržiavať vo forme, aby mala dosť sily na pôrod. Ak kedykoľvek v priebehu gravidity začne zo suky vytekať výtok žltej, hnedej, krvavej či zelenej farby, je nutné IHNEĎ navštíviť veterinárnu ambulanciu. Výnimkou je odchod hlienovej zátky niekoľko dní až hodín pred pôrodom, ktorá má však farbu aspiku a jasne sa tým odlišuje od možných abnormalít.

Výtok inej než transparentnej farby je patologickou známkou priebehu gravidity. Najväčším problémom je výtok zelenej farby, ktorý signalizuje odlúčenie plodu od matky a je dôvodom na okamžitý cisársky rez. Ihneď po narodení prvého šteňaťa je tolerovaný výtok tmavozelený a pochopiteľne aj krvavý. V poslednom týždni gravidity môže sučka často cítiť potrebu močiť, čím sa zvyšuje počet prechádzok počas dňa (každé 2 – 3 hodiny). Uistite sa, že jej poskytujete prístup k čerstvej čistej vode, najmä na konci gravidity, keď cíti väčšiu potrebu tekutín.
| deň | |
| 1. | Vajíčko (oocyt) po uvoľnení dozrieva a je schopné oplodnenia 2 dni. Spermie tiež dozrievajú (zbavujú sa biologicky aktívnych substancií zo svojho povrchu) 6 –10 hodín po krytí, a potom sú schopné oplodnenia 4 – 6 dní. Rozdiel medzi termínom krytia a termínom skutočného oplodnenia môže byť 1 až 6 dní v závislosti na čase, v ktorom suka ovuluje. |
| 2. | Tzv. očistené spermie putujú a hľadajú vajíčko na oplodnenie. Spermie putujú cez krčok maternice do vajcovodov, kam obyčajne dorazia už po 15 až 45 minútach, zvyšok spermií potom do 3 hodín. |
| 3. | Spermie z prvého krytia dosahujú cieľ, našli vajíčka vo vajcovodoch, ktoré vedú z vaječníkov do maternice. |
| 11. | Vajíčko zostupuje vajcovodom. |
| 14. | Zárodok je asi 1 mm veľký. |
| 16. | Vajíčko sa zbavuje obalov a voľne sa pohybuje v dutine maternice. |
| 17. | Začína sa vytvárať nervový systém, hlavička a telo zárodkov. |
| 18. | Embryo sa pomaly začina pripravovať na uhniezdenie v rohoch maternice a začína sa vytvárať placenta. Vývoj nervovej sústavy. Formujú sa zárodky vnútorných orgánov. Veľkosť embrya 2 mm. |
| 20. | Dochádza k uhniezdeniu vajíčka a pokračuje vývoj placenty, veľkosť zárodku je 4 mm. |
| 21. | Zakladá sa zárodok pre budúce srdce plodu, zárodok je veľký asi 5 mm, vytvára sa placenta. |
| 23. | V zárodku sa začína vyvíjať pečeň, čeľuste, oči, uši a nos (ňufák). Veľkosť plodu 10 mm |
| 25. | Začínajú sa objavovať stavce, zuby a končatiny. Veľkosť zárodku 14 mm. |
| 28. | Prebieha osifikácia (tvorba kosti) lebky a čeľusti. Tvar plodu sa z pôvodne vajcovitého tvaru mení na guľovitý. Veľkosť zárodku 17 mm. |
| 30. | Plody sa už podobajú na miniatúrnych psíkov. Osifikácia čeľustí a lebky je dokončená. Veľkosť zárodku 19 mm. |
| 33. | Dochádza k rastu prstov, k osifikácii nosnej časti, rebier a kostí končatín. Vývoj všetkých hlavných orgánov sa ukončuje. Veľkosť zárodku 27 mm. |
| 34. | Približne do 35. dňa môže byť odumretý zárodok vstrebaný, neskôr potom odchádza počas pôrodu ako tzv. čierny plod. |
| 35. | Postupne sa vytvára základ pre vývoj zmyslových orgánov a začína saaj proces osifikácie niektorých plochých kostí lebky a dlhých kostí končatín. Veľkosť zárodku 35 mm. |
| 36. | Zárodok v tomto období dosahuje približne 20 % pôrodnej veľkosti plodu. Začína sa vyvíjať pohlavná sústava, pokračuje osifikácia kostí a začína sa osifikácia lopatky. |
| 40. | Prebieha osifikácia stavcov a prstov, zatvárajú sa oči. Začínajú sa objavovať prvé náznaky srsti na hlave plodu. Veľkosť plodu 70 mm. |
| 45. | Osifikuje sa panva a začína narastať srsť. Veľkosť plodu 90 mm. |
| 50. | Telo má už sformovaný tvar. Orgány sú už zreteľne vyvinuté a dá sa určiť pohlavie plodu. Veľkosť plodu 120 mm. |
| 53 | U sučky sa dá nahmatať pohyb plodov. |
| 54. | Ako posledný vnútorný orgán sa vyvíjajú pľúca. |
| 55. | Telo plodu je porastené srsťou, na labkách je srsť ešte menej viditeľná. Už sú vyvinuté pazúriky. Začína sa prejavovať pigmentácia kože. Veľkosť plodu 150 mm. |
| 56. | Kalcifikujú sa (ukladajú sa soli vápnika do tkanív) zuby. |
| 58. | Plod má vyvinuté pľúca. Od tohto dňa sú plody životaschopné. |
| 60. | Dorastá srsť na nose, končatinách, chvoste a brušku. Veľkosť plodu 170 – 200 mm. |
| 61. | Plod je úplne vyvinutý a začína sa pripravovať na samotný pôrod. |
Vývoj zárodku a plodu
Gravidita sučky trvá priemerne 63 dní. Dĺžka gravidity je výrazne ovplyvňovaná počtom šteniat, termínom nakrytia, či opätovného prekrývania suky. Pri málopočetných vrhoch sa dĺžka gravidity predlžuje, pri 1 – 2 šteňatách môže trvať aj 70 dní. Pôrod do 57. dňa po nakrytí je potrat, tzv. abort. Narodené plody nebývajú životaschopné, nemajú vyvinutý sací reflex a často celé vrhy hynú. Po 68. dni ide o prenášanie.
Koncom druhého mesiaca gravidity sučka veľa oddychuje, čistí sa a pripravuje sa na pôrod. Cítime pohyb plodov v jej bruchu, srsť na bruchu redne, vypadáva a pri stlačení mliečneho struku sa začína objavovať mlieko. Sučka si zvykne hľadať miesto na pôrod – niektoré sučky si vyhrabávajú diery v bezpečí kríkov na záhrade. Brucho klesá a boky sú vpadnutejšie.
Príprava na pôrod
V dostatočnom predstihu pred pôrodom treba nachystať pôrodnú debničku, na ktorú si sučka môže navykať. Debnička by mala mať na bokoch lišty, ktoré bránia zaľahnutie šteniatok sučkou. Naše sučky si do debničky občas chodia hrabať, pred pôrodom v debničke nespia, ale hneď, ako tam porodia prvé šteniatko, už sa z debničky nevzďaľujú. Do debničky pred pôrodom nachystám jednorazové podložky a staršie plachty, ktoré po pôrode môžem vyhodiť. Pripravím si jednorazové podložky a Vetbedy, ktoré dám do debničky po ukončení pôrodu.
Niekoľko dní pred termínom pôrodu (od 56. dňa) 3 x denne pravidelne v tú istú hodinu môžete merať teplotu v konečníku. Normálna zdravá gravidná sučka má stále teplotu od 38 do 39 stupňov Celzia. Približne 12 - 36 hodín pred pôrodom sa sučke výrazne zníži teplota o 1 – 1,5 stupňa.
Posledných pár hodín pred začatím pôrodu býva sučka nepokojná, prechádza z miesta na miesto, častejšie močí. V deň začatia pôrodu sučka väčšinou prestáva prijímať potravu, je nervóznejšia, pripravuje si miesto pôrodu, niekedy vyhľadáva prítomnosť majiteľa, niekedy sa ho naopak stráni. Odporúčam minimalizovať stresové faktory u sučky (nové prostredie, cudzí ľudia, hluk…).
Pomôcky
- nožničky a niť, dezinfekcia (na prípadné ošetrenie pupočníkov)
- mulové štvorce (na zachytávanie šteniatok a odsátie tekutín)
- kôš na odpad a nádoba na odkladanie plodových obalov
- odsávačka
- sterilné rukavice
- váha
- hodiny
- zošit, pero
- farebné šnúrky na rozlíšenie šteniatok
- foťák (kamera)
- voda
- nápoj RC Rehydration support, Glukopur (hroznový cukor) alebo med, piškóty pre výživu rodičky
- košík alebo debnička pre šteniatka (na odloženie šteniatok pri upratovaní alebo pôrode ďalšieho šteniatka)
- termofor alebo fľaše na teplú vodu alebo vyhrievacia podložka (na udržiavanie teploty šteniatok)
- telefónny kontakt na veterinára
- oxytocín (podávame injekčne po konzultácii s veterinárom)
- umelé šteňacie mlieko (ak by matka nebola schopná kojiť)
Prajem vám príjemné obdobie očakávania a pôrod bez komplikácií.
Článok o pôrode pripravujem...
Ester Handzušová, ChS Tatranská Afrika
fotografie: archív autora
Ďakujem za pomoc: Stanislava Ondrovičová, Jana Bagarová